Die Zufriedenheit der Patienten hat für uns oberste Priorität und wir sind stets bestrebt, die Erwartungen zu übertreffen, indem wir eine persönliche, mitfühlende Betreuung bieten und ein einladendes Umfeld fördern.
PARKPLÄTZE VORHANDEN UND BARRIEREFREI ZUGÄNGLICH FÜR ROLLSTUHLFAHRER
Wir sind für Sie da und bieten die Möglichkeit, Ihnen auch ausserhalb der normalen Sprechzeiten schnell und unkompliziert zu helfen.
Der individuelle Erfolg einer Zahnrestauration ist abhängig vom Zusammenwirken Patient – Zahnarzt – Zahntechniker.
Als eidg. Dipl. Zahntechniker bin ich seit 1985 tätig. Unser kleines überschaubares Labor besteht seit 1990. Wir halten uns streng an den Grundsatz “Qualität vor Quantität” Die Zufriedenheit unserer Kunden ist uns besonders wichtig. Der individuelle Erfolg einer Zahnrestauration ist abhängig vom Zusammenwirken Patient – Zahnarzt – Zahntechniker. Darum ist uns eine intensive Zusammenarbeit mit den Patienten & Zahnärzten besonders wichtig.
Wir und unsere Zahnärzte beraten Sie gerne in einem individuellen unverbindlichen Beratungsgespräch .
Zahntechniker

Diese Seiten sollen Ihnen interessante Hintergrundinformationen über unsere Dentalleistungen liefern. Nur wer eng mit dem Patienten und behandelnden Zahnarzt zusammenarbeitet, kann ein individuell optimiertes Produkt anbieten.
Natürlich stehen wir Ihnen gerne persönlich zur Verfügung. Wir bieten fachkompetente Beratung, Planung und Betreuung in einer sympathischen Atmosphäre.
Wir bieten fachkompetente Beratung, Planung und Betreuung in einer sympathischen Atmosphäre.
Wir bieten fachkompetente Beratung, Planung und Betreuung in einer sympathischen Atmosphäre.
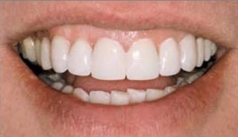
Keramik wird zur Herstellung individueller Keramik-Teilkronen wie die Vollkeramik-Krone und Zahnbrücken verwendet, denn Keramik hat eine lange Haltbarkeit und zeichnet sich im Mund durch eine gute Verträglichkeit aus.
Optimaler Schutz, individuell angepasst. Genießen Sie Ihren Sport bedenkenlos mit unserem maßgefertigten Sportzahnschutz. Strahlendes Lächeln inklusive.
Präzision und Qualität sind die Eckpfeiler unserer Arbeit. Jedes von uns gefertigte Produkt zeugt von meisterhaftem Können und höchster Sorgfalt.
Unsere langjährige Expertise im Bereich der Zahntechnik ermöglicht es uns, individuelle Lösungen zu entwickeln, die exakt auf Ihre spezifischen Anforderungen zugeschnitten sind.
Unsere herzliche und individuelle Betreuung steht im Mittelpunkt unseres Services. Wir hören Ihnen aufmerksam zu, verstehen Ihre Bedürfnisse und arbeiten eng mit Ihnen zusammen.
Kontinuierliche Investitionen in innovative Technologien sichern, dass wir stets auf dem neuesten Stand der Zahntechnik sind. So können wir Ihnen optimale Ergebnisse bieten.
In dringenden Fällen können Sie sich auf unseren zuverlässigen Notfalldienst für Zahnprothesen verlassen. Wir sind schnell zur Stelle, um Ihre Prothesenprobleme effizient zu lösen.
Unsere enge Partnerschaft mit den Zahnärzten gewährleistet, dass Sie die bestmögliche Mundgesundheit erreichen. Gemeinsam arbeiten wir nahtlos, um Ihr Lächeln zu bewahren und zu verbessern.